【メタルは削合してお届け】
メタル付き咬合床のときは
おおよその位置で咬合器装着し、メタルを削合してお届けします。
なので、チェアタイム短縮になります。
上顎で用いる「キャストバーType」
⇐ 一般的なパラタルバーType
違和感が少なくなるように、なるべく薄く製作していきます。
波状形態やストレートタイプなどご希望により対応が可能です。
前歯部の破損に対応したバーType ⇒
クリアランスが極端に少ない場合など、フィニッシングラインを前方に設計し、対合歯とメタルで咬合させることが可能です。
⇐ 全部床義歯の破折防止に対応したバーType
対合歯とのクリアランスにより、垂直方向にも保持装置を設計します。
馬蹄形に対応したバーType ⇒
人工歯の配列部には保持を設定。
床・人工歯の破折を防止しつつ、増歯などの修理がしやすい設計です。
⇐ 前、臼歯部の補強に対応したバーType
前歯部と臼歯部にバーの維持部を這わせて床を補強することが可能です。
欠損部の部位によっては、よりメタル部分を大きく持っていくことが出来ます。
下顎に用いる「キャストバーType」
一般的なリンガルバーType ⇒
粘膜面の状態やアンダーカットによりバーラインを設計
なるべく違和感を感じないように心掛けています。
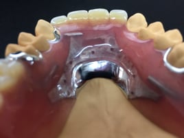
⇐ ワンピースType
多数歯にクラスプを掛けたり、強度を確保するときに製作。
舌感を考慮したバーType ⇒
舌の違和感に考慮した設計
床タイプよりも薄く製作が可能で違和感が少ない。
強度を確保しつつ、厚みとバーラインで装着感を高めていきます。
⇐ 前歯部の破損に対応したバーType
前歯の欠損にも対応したバー設計
可能な範囲でしっかりと保持を製作。人工歯の脱離などが防げるように製作していきます。
片側設計に対応したバーType ⇒
片側で処理する場合のバー設計
バーの維持部を人工歯部分にも設定し、破折防止に対応
一般のクラスプを用いるよりも、義歯を薄く製作することが可能です。
技工物や納期・その他、お気軽にお問い合わせ・ご相談ください。
|
お問い合わせ・連絡先 |
・mail: dental@kasa-lab.jp ・tel: 093-967-3358 ・fax:093-967-3359 |
【遠方の歯科医院様へ】
かさラボでは、宅急便を利用することにより全国の歯科医院様と取引が可能です。




